چربی
-
کدام چربیها در رژیم غذایی سالمتر هستند؟
چربی یک ماده مغذی ضروری برای عملکرد صحیح سلولهای بدن است. بنابراین در بزرگسالان، حداقل ۱۵ درصد از انرژی مصرفی روزانه تا ۳۰ درصد از کل کالری روزانه، باید از چربی باشد.
-
نکات حیاتی درباره مصرف قرص چربی خون که باید بدانید
یک متخصص داروسازی بالینی، در ارتباط با مصرف قرص کنترل چربی خون، توضیحاتی داد.
-
آیا افراد لاغر هم به «کبد چرب» مبتلا میشوند؟
بعضی افراد تصور میکنند فقط افراد چاق درگیر کبد چرب می شوند، در حالی که افراد لاغر هم میتوانند به این بیماری مبتلا شوند.
-
نکته بهداشتی روز:
آیا باید نگران تریگلیسیرید بالا باشید؟ | چرا افزایش مییابد و چطور میتوان آنرا کاهش داد
تری گلیسیریدها یکی از اجزای اصلی چربیهای بدن هستند؛ تریگلیسریدها همچنین در خون گردش میکنند. بدن شما تریگلیسیرید میسازد یا آن را از غذاهایی که میخورید دریافت میکند.
-
بدون رژیم سخت، چربیهای نوروزی را آب کنید!
پرخوری در تعطیلات بخشی طبیعی از تجربه جمعی ماست، اما جبران آن نیاز به تصمیمهای هوشمندانه دارد. بهجای رژیمهای سخت و کوتاهمدت، بازگشت به تغذیه متعادل، افزایش تحرک، خواب کافی و مدیریت استرس میتواند بدن را بهآرامی به وضعیت طبیعی برگرداند.
-
نوع چربی غذاها با کیفیت خواب و سلامت روان در سالمندان مرتبط است
یک مطالعه جدید روابط پیچیده و متفاوت بر حسب جنسبت بین کیفیت چربی غذایی و سلامت روان در سالمندان را آشکار میکند و چگونگی تأثیر انواع مختلف چربی بر الگوهای خواب، افسردگی، اضطراب، خلق و خو و استرس در آنها را نشان میدهد.
-
کاهش کلسترول بالا با یک نوشیدنی محبوب
قهوه یکی از رایجترین نوشیدنیهای مصرفی در جهان است و مطالعات در مورد قهوه و سلامت نشان میدهد که مصرف مقادیر متوسط آن (۴ فنجان یا کمتر در روز) میتواند برای سلامت عمومی شما مفید باشد.
-
کم چرب ترین قسمت کله پاچه کدام است؟ | ادویه خنثیکننده چربی و کلسترول چیست؟
به گفته یک متخصص علوم و صنایع غذایی، از نظر علمیکله پاچه یک غذای مغذی است اما چون پرکالری است و چربی و کلسترول بالایی دارد، یک غذای مناسب برای مصرف مکرر نیست و باید با احتیاط مصرف شود.
-
انواع روش پیکرتراشی و آشنایی تخصصی با هر کدام از روشها
پیکرتراشی مجموعهای از تکنیکهای پزشکی است که هرکدام با منطق، ابزار و محدودیتهای خاص خود طراحی شدهاند و انتخاب نادرست آنها میتواند نتیجه نهایی را تغییر دهد.
-
این غذاها بدون کلسترول و سرشار از فیبر هستند
گروه حبوبات شامل انواع حبوبات مانند نخود، انواع لوبیا، عدس، باقلا، لپه و ماش، منبع خوب تامین پروتئین است که برخی از املاح و ویتامینها و همچنین فیبر مورد نیاز بدن را تامین میکنند.
-
آیا خوردن ژله باعث چاقی صورت میشود؟
دفتر بهبود تغذیه جامعه وزارت بهداشت، درمان و آموزش پزشکی در پاسخ به این باور نادرست تغذیهای که آیا مصرف ژله باعث چاقی صورت میشود، توضیحاتی ارائه کرد.
-
۴ عادت مخرب که باعث افزایش چربی احشایی می شود
چربی احشایی، چربی مخفی اطراف اندامهای داخلی است که میتواند سلامت شما را تهدید کند. نوشیدنیهای شیرین، استرس مزمن، سیگار و کمبود خواب، عواملی هستند که باعث افزایش این نوع چربی میشوند. خوشبختانه با چند تغییر ساده در سبک زندگی میتوان آن را کاهش داد.
-
این ۵ نشانه حیاتی در صورت یعنی کبد شما چرب است
بیماری خاموش کبد چرب، پیش از آنکه به مراحل خطرناک برسد، اغلب نشانههای خود را روی صورت نمایان میکند. از زردی پوست و پف مداوم صورت گرفته تا جوشهای ناگهانی و رگهای عنکبوتی، این علائم ظاهری میتوانند زنگ خطری برای اختلال در عملکرد حیاتی کبد باشند.
-
آیا مصرف پنیر و خامه پرچرب خطر دارد؟
یافتههای یک بررسی بزرگ بوسیله پژوهشگران سوئدی نشان میدهد که خوردن پنیر یا خامه پرچرب با کاهش خطر ابتلا به زوال عقل همراهی دارد.
-
۴ نوشیدنی مفید برای کبد چرب که باید صبح ها بخورید
یک استاد پیشکسوت گوارش و کبد، در خصوص اینکه کدام نوشیدنیهای صبحگاهی برای کبد چرب مفید هستند، توضیحاتی داد.
-
۵ جایگزین سالم برای کره
کره بدون شک خوشمزه است و هر غذایی را خوش طعمتر میکند، اما کالری و چربی اشباع بالایی نیز دارد. به همین دلیل است که بسیاری از مردم به دنبال جایگزینهایی هستند که بدون از دست دادن طعم، با اهداف سلامتی آنها مطابقت بیشتری داشته باشد.
-
دنبه گوسفندی به کاهش چربی شکم کمک می کنه یا نه؟
نتایج مطالعات تغذیهای نشان میدهد که ۴۶.۷ درصد دنبه گوسفندی از چربیهای اشباع تشکیل شده و برخلاف تصور عمومی، نهتنها به کاهش چربی شکمی کمک نمیکند، بلکه موجب افزایش توده چربی بدن، بهویژه در ناحیه شکم، میشود.
-
هشدار به مادران باردار؛ حتی بوی غذای چرب هم برای جنین مضر است!
یک مطالعه تازه نشان میدهد بوییدن غذاهای چرب در دوران بارداری، حتی بدون خوردن آنها هم میتواند خطر ابتلای جنین به چاقی و دیابت نوع ۲ در آینده را افزایش دهد.
-
چی بخوریم چربی خون پایین بیاید؟ ؛ فواید دمنوش چای سبز برای کاهش چربی خون
دمنوش چای سبز یکی از موثرترین نوشیدنیهای طبیعی برای کاهش چربی خون و افزایش متابولیسم بدن است. وجود آنتیاکسیدانهای قدرتمندی مانند کاتچین در این دمنوش، به تنظیم کلسترول، تقویت سلامت قلب و افزایش چربیسوزی کمک میکند. مصرف روزانه چای سبز میتواند بخشی از یک سبک زندگی سالم و متعادل باشد.
-
راهی ساده برای کاهش چربی خون که از آن غافلیم
چربی خون بالا فقط نتیجه مصرف چربی نیست، بلکه محصول رفتار و محیط زندگی است و مهار آن نیازمند اصلاح سبک زندگی و کنترل استرس است.
-
دانه کوچکی که دشمن چربی خون شماست!
مطالعات آزمایشگاهی نشان دادهاند مصرف روزانه سیاهدانه میتواند با کاهش تریگلیسیرید و کلسترول بد، افزایش کلسترول خوب و بهبود کنترل اشتها در بهبود سلامت متابولیک و کنترل وزن نقش موثری ایفا کند.
-
راز طلایی کاهش قند خون و کلسترول را بدانید
مطالعهای تازه در Science Translational Medicine نشان میدهد که محدود کردن خوردن به یک بازه ۸ ساعته در روز—حتی اگر صبح باشد—بهتنهایی متابولیسم، قند خون یا کلسترول را بهتر نمیکند؛ مگر آنکه با کاهش کالری همراه شود.
-
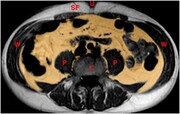
نکته بهداشتی روز:
چربی احشایی چه اثری بر سلامت شما میگذارد؟
چربی احشایی همانی است که اعضای درون شکم یعنی کبد، رودهها معده و سایر احشای داخلی را فرا میگیرد.
-
جایگزینهای سالم برای سرخ کردن غذا
غذاهای سرخ کرده اغلب خوشمزهتر از غذاهای آب پز و بخار پز اما مضرتر هستند، آنها پر از کالری و گاهی اوقات چربیهای ترانس هستند که به مشکلات معده، التهاب و افزایش خطر ابتلا به چاقی و بیماریهای قلبی کمک میکنند. اخیرا نیز سازمان جهانی بهداشت برخی از غذاهای سرخ کردنی را سرطانزا دانسته است.
-
راهکارهای کاهش چربی و پخت و پز سالمتر
چربیها بخش مهمی از رژیم غذایی روزانه هستند زیرا انرژی را فراهم و به جذب بهتر مواد مغذی کمک میکنند. با این حال، وقتی صحبت از غذاهای ایرانی میشود، حذف همه انواع چربیها دشوار است.
-
درمان ژنتیکی جدید کلسترول خون را تا ۵۰ درصد کاهش میدهد
پژوهشگران دانشگاه بارسلونا و دانشگاه اورگن رویکردی نوین برای کاهش کلسترول خون ارائه کردهاند که با خاموش کردن ژن PCSK۹ باعث کاهش سطح کلسترول میشود، بدون آنکه عوارض داروهای استاتین ایجاد شود.
-
کاهش کلسترول بد با مصرف این کره محبوب و خوشمزه!
کره بادامزمینی اگر طبیعی و بدون افزودنی باشد میتواند به کاهش کلسترول بد (LDL)، افزایش کلسترول خوب (HDL) و در نتیجه تقویت سلامت قلب کمک کند.
-
۶ کربوهیدرات موثر برای مقابله با چربی دور شکم
چربی احشایی نوعی چربی بدن است که در اطراف اندامهای داخلی مانند کبد، معده، رودهها و حتی قلب تجمع میکند.
-
بهترین سبزیجاتی که چربیهای شکم را نابود میکنند
برخی سبزیجات خاص مانند بروکلی، هویج و اسفناج میتوانند به طور چشمگیری چربیهای مزاحم شکم را کاهش داده و به تناسباندام کمک کنند.
-
خوراکیهایی که قهرمانان کاهش کلسترول هستند
کلسترول بالا یکی از مشکلات شایع سلامتی در جوامع امروزی است که در صورت عدم کنترل میتواند منجر به تشکیل رسوبات چربی در دیوارههای شریانها شود و جریان خون را مسدود کند. یکی از مهمترین سوالاتی که فرد مبتلا به کلسترول بالا از خود میپرسد، این است که برای پایین آوردن کلسترول خون چه بخوریم؟