به گزارش همشهری آنلاین، فراموش نکنید که خونریزی لثه از مشکلات رایج در بحث سلامت دهان و دندان است و میتواند نشاندهنده مشکلات جدیتری باشد. اگر میخواهید بدانید اصلیترین دلایل خونریزی لثه چیست، مطالعه این مطلب از همشهری آنلاین را از دست ندهید.
بررسی دلایل شایع خونریزی از لثه
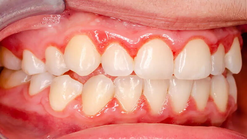
دلایل متعددی پشت خونریزی لثه وجود دارند که در بیشتر موارد به سلامت دهان و دندانها مرتبط هستند، اما گاهی اوقات میتوانند نشاندهندهی وجود بیماریهای دیگر هم باشند:

۱. التهاب لثه
معمولا علت اصلی خونریزی در لثه تجمع پلاک در خط آن است. در صورتی که پلاکها جمعآوری نشوند در نهایت به التهاب لثه تبدیل و منجر به تورم، حساسیت و خونریزی در زمان مسواک زدن و نخ دندان کشیدن خواهند شد. البته وضعیت ممکن است از این هم جدیتر شود، چرا که التهاب لثه میتواند در نهایت از دست دادن دندانها در بزرگسالی را به همراه داشته باشد.

۲. مسواک زدن خشن
اگر تصور میکنید با مسواک زدن شدید و خشن دندانهای شما تمیز میشوند، باید بدانید که این کار خطر تحلیل لثه و خونریزی آن را افزایش میدهد؛ بنابراین روش مسواک زدن خود را اصلاح کنید و برای این کار هم به سراغ مسواکهای نرم بروید.
بیشتر بخوانید: معرفی اشتباهات رایج مسواک زدن + چطور مسواک بزنیم؟

۳. استفاده از پروتزهای نامناسب
گاهی اوقات اشخاصی که به تازگی پروتز نصب کردهاند کنجکاو هستند بدانند که دلایل خونریزی لثه چیست و از مسئله نامناسب بودن پروتز خود غافل هستند. در حقیقت پروتزهایی با ابعاد نامناسب میتوانند لثهها را خراش دهند و ضمن ایجاد زخم باعث خونریزی شوند.
افرادی که شبها دندان مصنوعی خود را در نمیآورند ممکن است بیشتر از سایرین در معرض خونریزی لثه باشند؛ علاوهبراین مسواک زدن این دندانها به منظور جلوگیری از تجمع پلاک و التهاب لثهها را به هیچعنوان از یاد نبرید.
۴. بارداری
حدود نیمی از زنان باردار با مشکل لثههای متورم، قرمزی و حساس بودن مواجه هستند که باعث خونریزی لثه در زمان مسواک زدن و نخ دندان کشیدن میشود. علت اصلی بروز این مسئله تغییرات هورمونی هستند که واکنش بدن را به باکتریهای مولد بیماری لثه عوض میکنند. با توجه به این موضوع لازم است بانوان در زمان بارداری خود با رعایت بهداشت دهان و دندان و مسواک زدن دوبار در روز از لثه و دندانهای خود مراقبت کنند.

۵. رژیم غذایی نامناسب
گروهی از ترکیبات غذایی فرآوری شده منجر به تحریک لثهها و خونریزی آنها میشوند. با این حساب لازم است تا جای ممکن از آنها و انواع شیرینیجات پرهیز کنید و در عوض به سراغ رژیم غذایی متعادل و سرشار از میوهها، سبزیجات و ترکیبات غذایی حاوی کلسیم، ویتامین K، A، C و منیزیم بروید.

۶. مشکلات سلامتی
گاهی اوقات بیماران با مشکلات خاص از قبیل بیماریهای کبدی، اختلالات لخته شدن خون، کم خونی، لوسمی و آرتریت تمپورال هم با مشکل خونریزی لثه مواجه میشوند.
بیشتر بخوانید: ۱۵ توصیه مهم برای داشتن دندانهای سالم

۷. مصرف داروهای رقیقکننده خون
داروهای رقیقکننده خون توانایی خون را برای لخته شدن کاهش میدهند و این مسئله باعث میشود خونریزی راحتتر از حالت معمول اتفاق بیفتد؛ بنابراین اگر در حال مصرف این داروها هستند و قصد مراجعه به دندانپزشکی را دارید باید این مسئله را با پزشک خود در میان بگذارید.
روشهای متوقف کردن خونریزی لثه
حال که متوجه شدید دلایل خونریزی لثه چیست، بهتر است ببینیم چطور میتوانیم این وضعیت را متوقف کنیم. برای این منظور راهکارهای مختلفی به شرح زیر پیشرو شما قرار دارند:

رعایت بهداشت دهان و دندان
پلاک لایهای چسبنده از باکتری است که دندانها و لثه را میپوشاند و اگر به اندازه کافی مسواک نزنید یا نخ دندان نکشید گسترش مییابد و در نهایت پوسیدگی دندان و بیماری لثه را به همراه میآورد. با توجه به این موضوع میتوانید با رعایت بهداشت دهان و دندان از خونریزی لثه خود در آینده جلوگیری کنید.
بیشتر بخوانید: راهکارهای جلوگیری از پوسیدگی دندان

ترک سیگار
سیگار جدا از خطرات معمول خود در افزایش ریسک ابتلا به سرطان ریه، بیماریهای قلبی و سکته مغزی با بیماریهای لثه هم مرتبط است. با استعمال دخانیات سیستم ایمنی بدن تضعیف و مبارزه با باکتریهای مولد پلاک دشوارتر میشود.
با این حساب ترک کردن سیگار میتواند به بهبود وضعیت لثهها و توقف خونریزی در آنها کمک کند.

کاهش میزان استرس
تحقیقات متعددی نشان دادهاند که استرس تاثیر منفی بر سیستم ایمنی بدن دارد و آن را به حدی تضعیف میکند که نتواند با عفونت لثه مبارزه کند. گروهی از محققان بر این باور هستند که با افزایش میزان استرس عاطفی افراد ممکن است از سلامت دهان خود هم غافل شوند و به این شکل به تجمع پلاک در لثهها کمک کنند.

افزایش مصرف ویتامین C
خوردن غذاهای غنی از ویتامین C میتواند سیستم ایمنی بدن را تقویت و به مبارزه با عفونتهای لثه کمک کند؛ بنابراین حتما مصرف ترکیبات سرشار از این ویتامین از قبیل پرتقال، فلفل قرمز و هویج را در برنامه غذایی خود بگنجانید و با مشورت پزشک در صورت نیاز مکمل ویتامین C مصرف کنید.

افزایش مصرف ویتامین K
ویتامین K از دسته ترکیبات مغذی مهمی است که به لخته شدن خون کمک میکند و کمبود آن باعث خونریزی آسان میشود و حتی احتمال خونریزی از لثه را افزایش میدهد؛ بنابراین با مصرف مکمل ویتامین K (با مشورت پزشک) و غذاهای غنی از آن شامل اسفناج، کلم پیچ و مارچوبه میتوان به بهتر شدن وضعیت لثهها کمک کرد.

استفاده از کمپرس سرد
خونریزی لثه همیشه هم به دلیل بیماری لثه اتفاق نمیافتد و گاهی اوقات بر اثر ضربه و آسیب به بافت آن بروز میکند. در چنین شرایطی با استفاده از کمپرس سرد روی خط لثه میتوان میزان تورم را کاهش داد و جریان خون را به منظور توقف خونریزی محدود کرد.
اگر خونریزی لثه را نادیده بگیریم، چه اتفاقی میافتد؟

اگر خونریزی لثه را نادیده بگیرید به مرور زمان بدتر میشود، به خصوص زمانی که علت اصلی آن بیماری لثه باشد. درمان نکردن بیماری لثه در نهایت فرسایش بافت، رباط و استخوانهای نگهدارنده دندانها را به همراه دارد که منجر به امتداد عفونت، بوی بد دهان و حتی از دست دادن دندانها خواهد شد.
در صورتی که بیماریهای دیگر منجر به خونریزی لثه شدهاند، احتمال دارد که با گذشت زمان بدتر شوند؛ بنابراین حتما باید با مراجعه به پزشک از علت اصلی بروز این مسئله مطلع شوید و درمانهای لازم را دنبال کنید.

چه زمانی به پزشک مراجعه کنیم؟
در مواردی خونریزی لثه به صورت خود به خود برطرف میشوند، اما اگر دو هفته است که این خونریزی ادامه دارد حتما باید به دندانپزشک مراجعه کنید تا با بررسی وضعیت راهکارهای درمانی لازم را برای بهبود هرچه سریعتر آن دنبال کند.
سخن پایانی
حال که متوجه شدید دلایل خونریزی لثه چیست میدانید که ممکن است به سبب مشکلاتی کاملا جدی بروز کرده باشد؛ بنابراین اگر خونریزی لثه با مشکلات دیگری مثل تورم، درد یا بوی بدن دهان همراه است حتما برای بررسیهای بیشتر در اسرع وقت به متخصص مراجعه و به این شکل از بروز عوارض دیگر جلوگیری کنید.
نظر شما